Забруднення Совських ставків: у воді знайшли бактерії, які люблять солоне
Фото: facebook.com/pleso2016
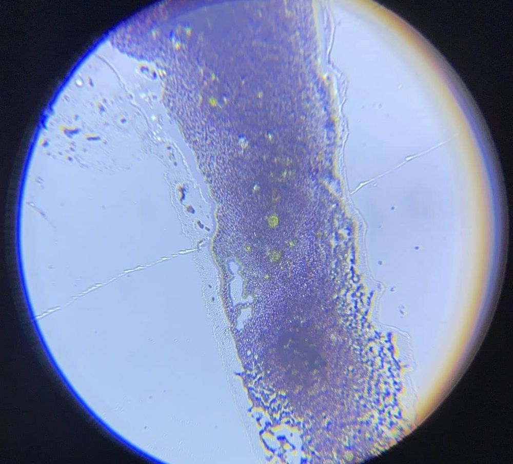
Кияни повідомили про забруднення у верхньому каскаді Совських ставків — вода набула бурого кольору. Спеціалісти провели лабораторні дослідження і знайшли мікроорганізми, які живуть у солоній воді. Про це повідомляє КП "Плесо".
Результати аналізів води з Совських ставків показали, що вода має помірну токсичність і не становить небезпеки для людей і живих організмів. Також у воді виявлено високий вміст солей, що теж не несе небезпеки для людей і тварин, але може впливати на екологічний стан водойми.
Перевищення норм зафіксовано лише по солям, а показники споживання кисню трохи вищі за норму. Рожево-бурий відтінок води спричинили галобактерії — мікроорганізми, що живуть у солоній воді. Вони безпечні для людей і не містять шкідливих патогенів, — розповіли фахівці.
Комунальники зазначили, що галобактерії є природними мешканцями водойм із високою мінералізацією. Вони не становлять небезпеки для людей і тварин, а вода, в якій вони містяться, має рожевий відтінок. Це явище вже давно відоме вченим, його можна зустріти у водоймах зі схожими умовами по всьому світу.
Фахівці "Плесо" продовжать моніторинг води в Совських ставках для забезпечення екологічної безпеки водойми та вчасного реагування на можливі зміни.
Раніше "ТиКиїв" повідомляв, що пляжі в столиці почали чистити за допомогою спеціальної машини Nemo.




